CAMPANHAS 2025
Alinhadores Invísiveis
por apenas 162,50€/mês
Válida até 31/12/2026
TAEG 8,8% | Prazo 24 meses
Montante Financiado 3.900,00€
A sua melhor versão começa aqui!
Parcerias Seguradoras
Pagamentos Parcelados
Sem Juros
ORTODONTIA INVISÍVEL
Dentes desalinhados?
Encontre a solução ideal para si!
Diga Adeus ao Desconforto e às Limitações
Se tem dentes desalinhados, sabe como isso pode afetar a mastigação, a fala e a confiança no sorriso.
A ortodontia é a solução ideal para alinhar os dentes e melhorar a estética e funcionalidade do seu sorriso.
Quase Invisíveis
Alinhe o seu sorriso de forma discreta, sem que ninguém repare que está a usar aparelho.
Higiene oral facilitada
Escovar os dentes e usar fio dentário torna-se mais simples.
Tratamento previsível e digital
Graças à tecnologia 3D, pode visualizar o resultado final antes de começar o tratamento.
Como funciona o tratamento?
01
Consulta Inicial
Avaliação clínica e scan 3D para diagnóstico detalhado.
02
Planeamento
Plano de tratamento personalizado para si.
03
Início do Tratamento
Definição dos moldes e entrega dos alinhadores.
04
Acompanhamento
Consultas periódicas para acompanhar a evolução.
04
Finalização
Remoção do aparelho e resultados visíveis em poucos meses.
Agende a sua
Consulta
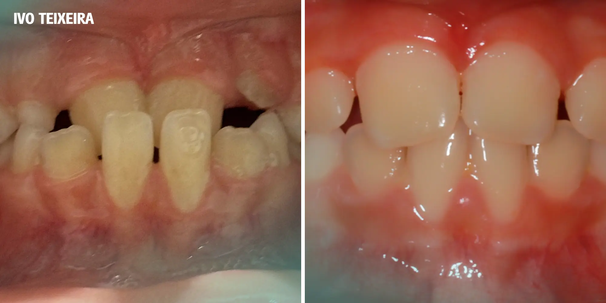
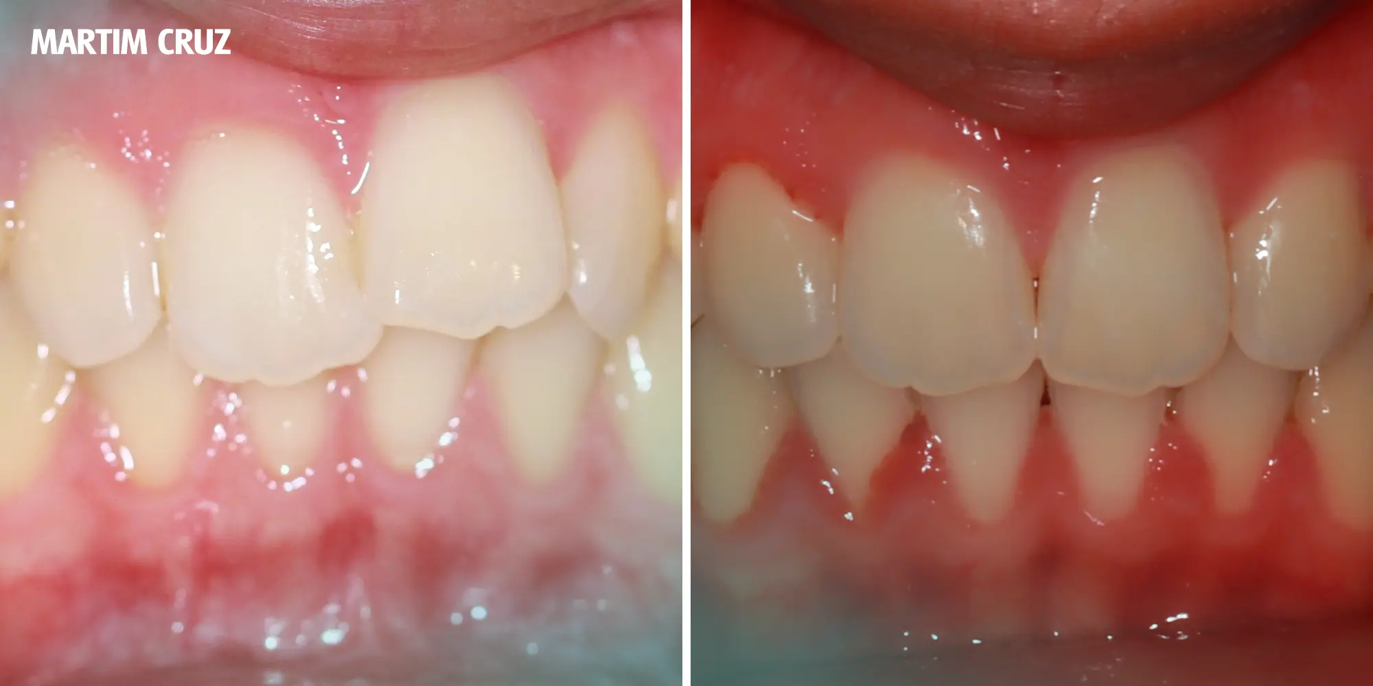
Conheça os casos dos nossos pacientes
Estes são apenas alguns dos exemplos de como a ortodontia pode transformar vidas.
Veja as transformações e descubra como podemos ajudar a devolver-lhe um sorriso natural e funcional.




EXCELENTE Com base em 157 avaliações Pedro Schreck17 Março 2025Trustindex verifica se a fonte original da avaliação é Google. Simpatia e profissionalismo Joana Félix17 Março 2025Trustindex verifica se a fonte original da avaliação é Google. Atenciosos, cuidadosos e simpáticos. Carina Filhote13 Março 2025Trustindex verifica se a fonte original da avaliação é Google. Excelente equipa! Luis Cernadela12 Março 2025Trustindex verifica se a fonte original da avaliação é Google. Proficionalismo e simpatia Silvia Lemos3 Março 2025Trustindex verifica se a fonte original da avaliação é Google. Sempre muito cuidadoso e atencioso
Tem questões sobre alinhadores?
Os nossos especialistas estão aqui para responder às suas questões, gratuitamente e sem compromisso.